健康

戒菸2年仍罹肺癌!41歲女靠「這篩檢」揪出1.2公分結節救命 醫揭關鍵

編輯部 1天前 3 瀏覽
戒菸2年仍罹肺癌!41歲女靠「這篩檢」揪出1.2公分結節救命 醫揭關鍵
記者簡浩正/新北報導

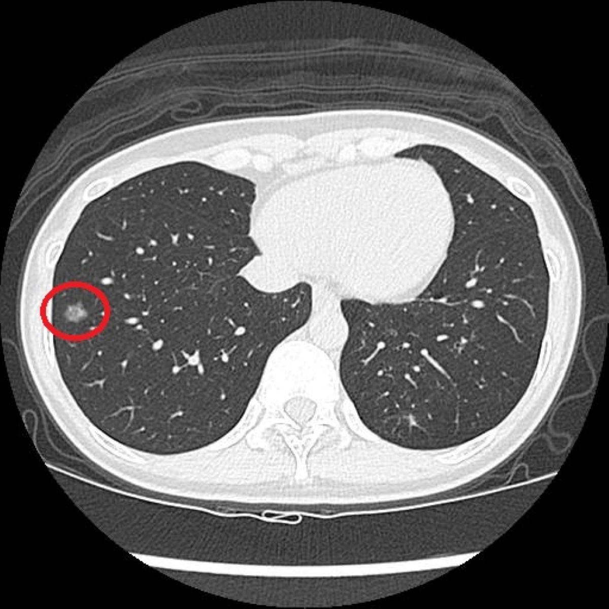
41歲陳小姐過去有長期的吸菸史,在醫療團隊的協助下戒菸近2年,雖沒有任何不適,但仍定期留意自身健康。因符合政府公費「低劑量電腦斷層(LDCT)」篩檢條件,她依建議至醫院接受檢查,卻意外發現右肺有一顆約1.2公分的毛玻璃結節,被轉診至胸腔外科門診,由醫師進行單孔胸腔鏡微創手術切除病灶,術後病理檢查確診為肺腺癌第一期,目前定期回診追蹤中。

台北慈濟醫院胸腔外科醫師洪嘉聰表示,根據衛福部癌症登記資料,肺癌已連續43年高居國人癌症死因之首,其中吸菸仍是主要的危險因子,但臨床上也常見不吸菸者罹患肺癌,這往往與二手菸、空氣污染、特殊職場環境,以及本身具其他肺部疾病或家族史等因素有關。他說,早期肺癌幾乎沒有明顯症狀,多數患者是在疾病進展後,才可能出現咳嗽、咳血或呼吸不適等警訊,因此民眾較難察覺異樣。

篩檢方面,洪嘉聰指出過去是以胸部X光作為工具,但由於影像為2D平面,對於體積小或位置較隱蔽的病灶辨識能力有限;若是改以一般劑量的電腦斷層檢查,雖能提升解析度,但其輻射劑量相對較高,且需較長時間代謝,不適合作為常規或大規模篩檢工具。而LDCT篩檢則是利用比傳統電腦斷層更低的輻射劑量,從多個角度掃描胸腔,重建出清晰的橫切面和立體影像,有助於偵測肺部的微小結節。相較於傳統胸部X光只有少數約7%的受檢者會出現疑似異常影像,LDCT能使初次篩檢的陽性比例提升至約23%~24%,大幅增加早期病灶被發現的機會。

而在治療上,洪嘉聰表示,早期肺癌現今主流手術為單孔胸腔鏡手術,僅需從側胸開一2-3公分的傷口;此外,針對高齡長者或經評估肺功能較差者,亦可考慮冷凍消融治療,在超音波影像導引下,將探針精準置入病灶,透過低溫氬氣或液態氮破壞癌細胞結構,達到局部治療的效果。只要能在早期診斷並及時接受合適治療,病人的五年存活率高達九成,復發率約落在2-3成之間。

洪嘉聰提醒,國健署補助2年一次的LDCT公費篩檢,凡是具家族史或符合資格之重度吸菸者,皆應把握機會檢查。同時也呼籲,癌症長年位居國人十大死因之首,口腔癌、大腸癌、乳癌、子宮頸癌、肺癌與胃癌等癌症不可忽視,鼓勵民眾早期篩檢、掌握癌症黃金治療期的重要性。

三立新聞網提醒您:

吸菸害人害己 戒菸可減少健康的危害 吸菸能導致肺癌、心臟血管疾病及肺氣腫 孕婦吸菸 易導致胎兒早產及體重不足

更多三立新聞網報導115學測明登場!12萬考生注意:「沒帶有效證件恐扣分」冷氣開放條件曝獨家/阿里山賓館「一晚要價4.5萬」網全嚇傻!總經理回應揭「真相」校園「水痘」拉警報!「7-12歲」高風險 醫:傳染力是流感、腸病毒6倍他起床右耳「像被關掉」急就醫竟是「耳中風」!專家示警:患者年輕化

新聞來源: 原始來源

分享本文
請登入後發表評論
立即登入

尚無評論,成為第一個發言的人吧!

首頁 新聞 商家 活動 聊天底